Entre em Contato :

(44) 3056-5090

(44)9 9809-6750

|

CONTROLE DE QUALIDADE

Imunohistoquímica

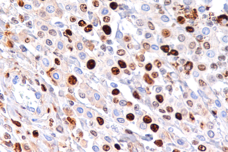
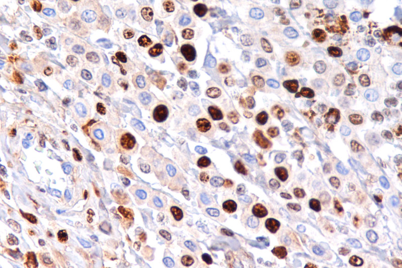
Descrição

É uma complementação do anatomopatológico deve ser realizada quando não é possível definir somente com dados microscópicos o tipo de câncer. Existem variedades de câncer cujas células são semelhantes entre si, no entanto, sua origem é diferente, bem como o seu tratamento. Para diferenciá-los é que existe a imunohistoquímica.

Imagem de Imunohistoquímica

Galeria de Imagens


Entre em contato conosco

Em que podemos lhe ajudar? Esclareça suas duvidas, faça um elogio ou de sugestões para mehor lhe atender.

Entrar em contato

Conheça outros procedimentos